Pediatric Dentist in Kuantan

Pediatric Dentistry

Pediatric Dentistry

Pediatric dentistry focuses on keeping children’s teeth healthy while making dental visits comfortable and stress-free. Our approach emphasises prevention, early treatment, and gentle care to protect developing teeth without unnecessary discomfort.

At Klinik Pergigian Shakirin, pediatric dental care is provided by our experienced dentist who creates a child-friendly environment and uses gentle techniques to support healthy, natural smiles as your child grows.

Take Care of Your Child’s Dental Health Today!

What Is ICON Treatment?

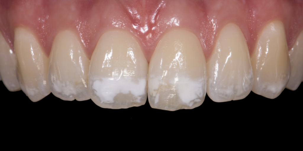
ICON, also known as ICON resin infiltration, is a minimally invasive dental procedure designed to treat early enamel lesions, sometimes called white spot lesions. These are areas where the enamel has begun to demineralize, often appearing as chalky, opaque, or uneven spots on your teeth.

These lesions can occur due to factors like early decay, fluorosis, or as a result of orthodontic treatment.

The procedure works by infiltrating a specially formulated resin into the porous areas of the enamel. This resin fills the microscopic gaps in the tooth surface, effectively masking white spots and halting the progression of early decay. Because ICON targets only the affected areas, it preserves healthy tooth structure, making it a gentle alternative to traditional drilling or enamel removal.

White Spots on Teeth

Our Pediatric Dentistry Services

Professional Cleaning

Professional Cleaning

Gentle professional cleaning removes plaque and tartar that brushing may miss, helping to prevent cavities and gum problems. It also keeps your child’s teeth clean, healthy, and comfortable between dental visits.

Fluoride Treatment

Fluoride Treatment

Fluoride treatment strengthens your child’s tooth enamel, making teeth more resistant to decay and acid attacks from food and bacteria. This simple preventive treatment helps protect your child’s teeth during critical stages of growth and development.

Fissure Sealants

Fissure Sealants

Fissure sealants are thin protective coatings applied to the chewing surfaces of molars. They seal deep grooves where food and bacteria can collect, significantly reducing the risk of tooth decay.

Emergency Dental Care for Children

Emergency Dental Care for Children

Accidents and dental pain can happen unexpectedly. Our clinic provides prompt care for dental emergencies such as toothaches, chipped teeth, or dental injuries to relieve discomfort and prevent further damage.

When Does Your Child Need a Dentist?

Your child should see a dentist by their first birthday or within six months after their first tooth appears. Early dental visits allow the dentist to monitor tooth development, provide preventive care, and guide parents on proper oral hygiene from the start. After the first visit, regular check-ups every six months help keep your child’s teeth and gums healthy.

You should also bring your child to the dentist if you notice signs such as tooth pain, white or brown spots on teeth, swollen gums, difficulty chewing, or after a dental injury. Early visits not only prevent dental problems from worsening but also help your child become comfortable with dental care, building positive habits that support lifelong oral health.

smiling girl show teeth in white clothes

Our Happy Pediatric Patients

Patient Gallery

Your ICON Treatment Appointment

The ICON treatment procedure is typically completed in a single visit, usually lasting 30 to 60 minutes per tooth, depending on the number of affected areas.

Preparation

The dentist starts by gently cleaning the tooth surface. This ensures the resin can penetrate effectively into the enamel.

Etching the Enamel

A formulated gel is applied to open the enamel pores. The process is painless, though you may feel a mild tingling as the gel works.

ICON Resin Application

The liquid ICON resin is applied to the porous enamel. It fills the tiny gaps in the enamel and covers the white spots. A curing light is used to harden it in place.

Polishing

Finally, the treated area is polished to create a smooth, natural surface that blends seamlessly with surrounding teeth.

Why Choose Us

Constantly Invests in Improving Patient Care

Visit Klinik Pergigian Shakirin for a comfortable and comprehensive dental experience. We believe informed patients are empowered patients, so we’ll walk you through every step of the way. Let us help you achieve a healthy, beautiful smile.

Experienced & Caring Dentist

Dr. Alif is dedicated to providing high-quality dental care with a gentle touch.

Personalised Treatment Plans

We work with you to understand your concerns and goals, offering various options to achieve your desired outcome.

Comfortable & Welcoming Environment

Our modern clinic is designed to put you at ease, with a friendly and supportive staff.

FAQ on Pediatric Dentistry

Frequently Asked Questions

Most children should visit the dentist every six months for regular check-ups and cleanings. Some children may need more frequent visits depending on their oral health.

Yes. Dental X-rays used for children are safe and taken only when necessary. Protective measures are used to minimise radiation exposure while allowing accurate diagnosis.

Pediatric dentistry focuses on gentle techniques and child-friendly communication. Dentists take extra time to explain procedures and create a comfortable environment to reduce fear and anxiety.

If your child experiences tooth pain, swelling, or dental injury, contact the dental clinic as soon as possible. Prompt treatment helps relieve discomfort and prevent complications.

Pediatric dental treatments are designed to be as comfortable as possible. Dentists use gentle methods and pain management techniques suited for children.

Testimonials

What Our Satisfied Patients Say

ANXAkqHduhzohCe79WPVZ9W9044ODc5qa6HwQiHClg94NCGPGvW5n5KclDrZjmqCZvdzP91d xnL1l8WOiDaUMMiss5AOFaZoi1u2j4=s1600 w300 h300
5.0
Based on 180 reviews
powered by Google
ACg8ocIG7adoQRMBojPI2rljzm0Ksn9dGPfjqZr5kliwx WL466z1A=s56 c0x00000000 cc rp moAtieqah Roslan
04:15 17 Nov 24
Best and fast service. Good explanation and knowledge sharing. Very worth it.
ALV UjVe4jWFExf DgwB1T3xRpqNThDHBRbGARhPVvikGQ UmW Es1fD=s56 c0x00000000 cc rp moMohd Hairi Ab Raub
09:23 26 Oct 24
I had a wonderful experience at Klinik Pergigian Shakirin!The staff is exceptionally friendly and professional, making me feel comfortable throughout my visit. The level of care and attention to detail is outstanding. I truly appreciate the dedication to patient education and creating a welcoming environment! Highly recommend!
ALV UjWp9U9rbXsCVEazp5YwyZntfrzwtWBJSamBp58dv9lddhez2HS =s56 c0x00000000 cc rp moArash Zai
12:04 19 Oct 24
I have heard great things about the services at Klinik Pergigian Shakirin Kuantan, both from reviews and word of mouth. The professionalism and quality of care seem to be consistently praised, which has piqued my interest. I look forward to scheduling an appointment soon and experiencing their excellent dental care firsthand.
ALV UjVN uY3frFIPjWrqQH1rj6K5gQHpNYWyun7 A47sYCr5Z4CurH5=s56 c0x00000000 cc rp mowaniesan
12:19 04 Oct 24
I recently visited for fillings and scaling, and I had a positive experience overall at this clinic.The procedure was thorough, and the dentist explained everything do the treatment. They made sure I was comfortable throughout the treatment.The clinic was clean and well-organized, which is always reassuring when visiting a dental office.Im satisfied with the treatment I received. I would recommend Shakirin Dental to anyone in need of dental services, particularly for fillings, scaling or others treatment.
ALV UjWfrL3noou1dnbzGt8n2EZG7WZdbR 6sOLh sQYfcxnxt PcgW=s56 c0x00000000 cc rp moAdib Muzzammil
14:10 23 Sep 24
This clinic is the best so far, wow 👍👍. I’ve never been to a clinic like this before. The place is really comfortable to visit, the procedures are satisfactory and smooth without any issues, and the best part is that the prices are very reasonable. It’s no wonder so many people come to this clinic. If anyone asks which clinic is good, I would definitely recommend this one marvelous and top-notch! 👍👍👍
I’ve had a great experience at Klinik Pergigian Shakirin with my braces. The Dr. is friendly, and explains everything clearly. Adjustments are quick and painless, and I’m already seeing progress. Highly recommend!
Nice environment, service yg sgt bagus dari doc and staff, doc bg explanation sangat clear. Really recommended to go
ALV UjVLBKZfLrEHnjGAtcZrDfDbeazP7yQb3GSky xVJBlbWa3JRKfv=s56 c0x00000000 cc rp moZayah Sahray
03:54 06 Jul 24
The doctor is good, the service provided is reasonable.
ALV UjUa3P0llz 0uRG8wzEwD3X1RmPi hlg5UhToOoIr sGZDVy go=s56 c0x00000000 cc rp moMuhd Akmal
02:20 06 Jul 24
Clear explaination from the dentist. Propose and recommend banyak option utk patient consider. Dont hesitate to come
ALV UjU iq9UxXA9iClKnpdhxvwIfo9tpDo7RqpN82tRBCLac0m0Tn8=s56 c0x00000000 cc rp moyna
06:52 04 Jul 24
Alhamdulillah..One of the town's INSTAR alumni who successfully opened his own clinic
ALV UjVG 76y2C 2QUnumQ8TO0ZcYd5pna94B9tFeMFvtxz56ptGeQXQ=s56 c0x00000000 cc rp moAisyah Jamaluddin
07:19 01 Jul 24
Great service provided here. Friendly doctor and staff.
ALV UjWNXF4OND39 RCPEWK8 y5Z3Q8XUlLRmtpUWCKpWImpOm47v hE=s56 c0x00000000 cc rp moIlya Maisrh
04:56 13 Jun 24
★★★★★I had an amazing experience at this Clinic for my braces. The staff were friendly and professional, and Dr. Shakirin was fantastic. They made the entire process smooth and comfortable. My teeth look great now! Highly recommend this clinic for anyone needing orthodontic treatment.---
ALV UjXuotArQkm14a02VYGfkR6 KJbTCHR8KLPSIrTvVhVrzIKUQqsog=s56 c0x00000000 cc rp monasri yusof
02:30 28 May 24
Friendly doctor and staff..highly recommended
ACg8ocKvuzeybsc7eBlUAxc2eGVtC64WZ4GaT0VbHOw43zmCpCsaKw=s56 c0x00000000 cc rp moAmirah Husna
11:52 17 Mar 24
Shakirin Dental Clinic is highly recommended! just left that day toothache problem due to growing wisdom teeth and swollen gums. At first I just wanted to do a consultation. but after being given a very detailed explanation by the doctor, he decided to extract the tooth because he couldn't stand the pain. after the consultation, immediately pull the tooth. the tooth extraction process does not hurt at all and the doctor is very efficient in doing the job. Alhamdulillah. staff and doctor are very good. sociable. good service very detailed explanation of dental treatment. the price is also affordable. Alhamdulilah thank you for providing the best service and service.
ACg8ocLkBRsAjlsg5eLhfk3pn82NCG6ZWnH3duuBf21TuurQnsUZBg=s56 c0x00000000 cc rp moAsy Ha
03:23 11 Jan 24
Pros1. Comfortable place.2. Friendly doctors and staff.3. The operation runs smoothly without any problems with the tools.4. Reasonable price.5. It is easy to do an operation for serious dental problems because this clinic provides many services compared to other clinics that need to be referred to other places for serious dental problems.Improvement :1. Need to make an advertisment to attract more customers.* Not paid promotion, real customer experience. That's it.
Thank you dr and all the staff for accommodating my tight schedule. The dr took great care to ensure that I was feeling comfortable throughout the procedure.
js_loader

Kid-friendly Dental Clinic in Kuantan

Visit Klinik Pergigian Shakirin

Giving your child the right dental care early sets the foundation for a healthy, confident smile. Our pediatric dentistry services are designed to support your child’s oral health through every stage of growth.

Contact Klinik Pergigian Shakirin today to book a pediatric dental check-up and take the first step toward lifelong dental wellness for your child.