Tooth Filling in Kuantan

Tooth Filling

Tooth Filling

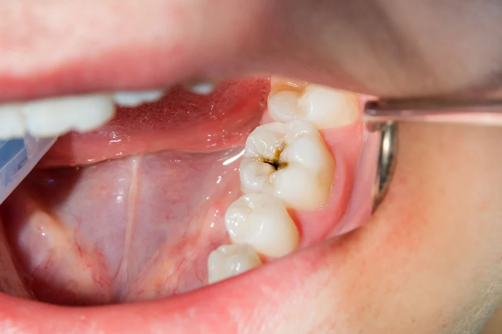
Cavities are common in children, especially with frequent snacking, sugary drinks, or if they’re still learning how to brush properly. But it can affect adults too.

If you have a cavity, you need to repair the damage with a tooth filling before the decay can damage your tooth further. Our dentist at Klinik Pergigian Shakirin can suggest the right types of materials for your tooth to stay healthy and strong.

RM80

Tooth Filling Price

Fill your cavity today!

Fix Your Cavities with a Tooth Filling!

Fix Your Cavities with a Tooth Filling!

Types of Tooth Fillings

Available Materials at Our Dental Clinic

Composite Fillings

Made of resin that matches the natural color of your teeth. Ideal for front teeth or visible areas for a seamless look.

Amalgam Fillings

Durable and long-lasting, commonly used for back molars where chewing pressure is highest. More noticeable than tooth-colored options.

Glass Ionomer Fillings

Releases fluoride to help prevent further decay. Typically used for baby teeth or non-load-bearing areas.

Porcelain Fillings

Aesthetic and stain-resistant. Custom-made for larger cavities or patients wanting long-lasting cosmetic results.

When Do You Need a Filling

You may need a dental filling if you’re experiencing:

  • Toothache or sensitivity, especially when consuming hot, cold, or sweet foods
  • Visible holes, chips, or dark spots on your tooth
  • A cracked or worn-down tooth
  • A lost or broken filling

Early treatment can prevent the need for more complex procedures like root canals or crowns. That’s why regular checkups are important. Your dentist can catch decay before it worsens.

cavities what are they and how to treat them 1024x683 1

Your Tooth Filling Appointment

At Klinik Pergigian Shakirin, here’s what you can expect when you come to your appointment.

Examination

Your dentist will begin by examining the affected tooth and surrounding area. If the cavity isn’t visible on the surface, an X-ray may be taken to determine how deep the decay is.

Decay Removal

Local anesthesia may be given to ensure you are comfortable. Once the area is numb, the dentist will gently remove the decayed portion of the tooth.

Filling Placement

After the cavity is cleaned and disinfected, the dentist will apply the chosen filling material. The layers are then hardened and shaped.

Polishing

Finally, the filled tooth is polished to a smooth finish. Your dentist will also check your bite to make sure the new filling isn’t too uncomfortable.

We try to preserve as much of your healthy tooth as possible. Most filling appointments usually take between 30 to 60 minutes depending on the location and size of the cavity. In most cases, you can eat and drink within a few hours, just avoid chewing on the filled side until the numbness wears off completely.

Why Choose Us

Constantly Invests in Improving Patient Care

Choose us for a comfortable and comprehensive dental experience. We believe informed patients are empowered patients, so we’ll walk you through every step of the way. Let us help you achieve a healthy, beautiful smile.

Experienced & Caring Dentist

Dr. Shakirin is dedicated to providing high-quality dental care with a gentle touch.

Personalised Treatment Plans

We work with you to understand your concerns and goals, offering various options to achieve your desired outcome.

Comfortable & Welcoming Environment

Our modern clinic is designed to put you at ease, with a friendly and supportive staff.

FAQ on Tooth Fillings

Frequently Asked Questions

Common signs include tooth sensitivity, pain when chewing, visible holes or dark spots on the tooth, or a chipped surface. However, some cavities show no symptoms. Regular dental check-ups are the best way to catch them early.

Most fillings are done under local anesthesia, so the procedure itself shouldn’t hurt. You might feel pressure or mild discomfort during the process. Some sensitivity may persist for a few days after, especially with deeper cavities.

If your filling is done with composite resin, you can usually eat immediately. For amalgam fillings, it’s best to wait a few hours until the material fully hardens. Avoid chewing on the filled side until the numbness wears off to prevent biting your cheek or tongue.

Yes, if you choose a composite or porcelain filling, it can be matched to the color of your natural teeth for a seamless look. Metal fillings like amalgam will be visible but are very durable.

Fillings can come loose due to decay around the edges, grinding your teeth, or biting into hard foods. If your filling falls out or feels loose, contact your dentist as soon as possible to prevent further damage.

Delaying treatment allows decay to spread deeper, potentially leading to infection, root canal treatment, or even tooth loss. It’s best to treat cavities early while the damage is minimal.

Yes, old or worn-out fillings can be safely removed and replaced. Your dentist will assess whether it’s time to update a filling during your regular check-up.

Testimonials

Hear from Our Patients

ANXAkqHduhzohCe79WPVZ9W9044ODc5qa6HwQiHClg94NCGPGvW5n5KclDrZjmqCZvdzP91d xnL1l8WOiDaUMMiss5AOFaZoi1u2j4=s1600 w300 h300
5.0
Based on 180 reviews
powered by Google
ACg8ocIG7adoQRMBojPI2rljzm0Ksn9dGPfjqZr5kliwx WL466z1A=s56 c0x00000000 cc rp moAtieqah Roslan
04:15 17 Nov 24
Best and fast service. Good explanation and knowledge sharing. Very worth it.
ALV UjVe4jWFExf DgwB1T3xRpqNThDHBRbGARhPVvikGQ UmW Es1fD=s56 c0x00000000 cc rp moMohd Hairi Ab Raub
09:23 26 Oct 24
I had a wonderful experience at Klinik Pergigian Shakirin!The staff is exceptionally friendly and professional, making me feel comfortable throughout my visit. The level of care and attention to detail is outstanding. I truly appreciate the dedication to patient education and creating a welcoming environment! Highly recommend!
ALV UjWp9U9rbXsCVEazp5YwyZntfrzwtWBJSamBp58dv9lddhez2HS =s56 c0x00000000 cc rp moArash Zai
12:04 19 Oct 24
I have heard great things about the services at Klinik Pergigian Shakirin Kuantan, both from reviews and word of mouth. The professionalism and quality of care seem to be consistently praised, which has piqued my interest. I look forward to scheduling an appointment soon and experiencing their excellent dental care firsthand.
ALV UjVN uY3frFIPjWrqQH1rj6K5gQHpNYWyun7 A47sYCr5Z4CurH5=s56 c0x00000000 cc rp mowaniesan
12:19 04 Oct 24
I recently visited for fillings and scaling, and I had a positive experience overall at this clinic.The procedure was thorough, and the dentist explained everything do the treatment. They made sure I was comfortable throughout the treatment.The clinic was clean and well-organized, which is always reassuring when visiting a dental office.Im satisfied with the treatment I received. I would recommend Shakirin Dental to anyone in need of dental services, particularly for fillings, scaling or others treatment.
ALV UjWfrL3noou1dnbzGt8n2EZG7WZdbR 6sOLh sQYfcxnxt PcgW=s56 c0x00000000 cc rp moAdib Muzzammil
14:10 23 Sep 24
This clinic is the best so far, wow 👍👍. I’ve never been to a clinic like this before. The place is really comfortable to visit, the procedures are satisfactory and smooth without any issues, and the best part is that the prices are very reasonable. It’s no wonder so many people come to this clinic. If anyone asks which clinic is good, I would definitely recommend this one marvelous and top-notch! 👍👍👍
I’ve had a great experience at Klinik Pergigian Shakirin with my braces. The Dr. is friendly, and explains everything clearly. Adjustments are quick and painless, and I’m already seeing progress. Highly recommend!
Nice environment, service yg sgt bagus dari doc and staff, doc bg explanation sangat clear. Really recommended to go
ALV UjVLBKZfLrEHnjGAtcZrDfDbeazP7yQb3GSky xVJBlbWa3JRKfv=s56 c0x00000000 cc rp moZayah Sahray
03:54 06 Jul 24
The doctor is good, the service provided is reasonable.
ALV UjUa3P0llz 0uRG8wzEwD3X1RmPi hlg5UhToOoIr sGZDVy go=s56 c0x00000000 cc rp moMuhd Akmal
02:20 06 Jul 24
Clear explaination from the dentist. Propose and recommend banyak option utk patient consider. Dont hesitate to come
ALV UjU iq9UxXA9iClKnpdhxvwIfo9tpDo7RqpN82tRBCLac0m0Tn8=s56 c0x00000000 cc rp moyna
06:52 04 Jul 24
Alhamdulillah..One of the town's INSTAR alumni who successfully opened his own clinic
ALV UjVG 76y2C 2QUnumQ8TO0ZcYd5pna94B9tFeMFvtxz56ptGeQXQ=s56 c0x00000000 cc rp moAisyah Jamaluddin
07:19 01 Jul 24
Great service provided here. Friendly doctor and staff.
ALV UjWNXF4OND39 RCPEWK8 y5Z3Q8XUlLRmtpUWCKpWImpOm47v hE=s56 c0x00000000 cc rp moIlya Maisrh
04:56 13 Jun 24
★★★★★I had an amazing experience at this Clinic for my braces. The staff were friendly and professional, and Dr. Shakirin was fantastic. They made the entire process smooth and comfortable. My teeth look great now! Highly recommend this clinic for anyone needing orthodontic treatment.---
ALV UjXuotArQkm14a02VYGfkR6 KJbTCHR8KLPSIrTvVhVrzIKUQqsog=s56 c0x00000000 cc rp monasri yusof
02:30 28 May 24
Friendly doctor and staff..highly recommended
ACg8ocKvuzeybsc7eBlUAxc2eGVtC64WZ4GaT0VbHOw43zmCpCsaKw=s56 c0x00000000 cc rp moAmirah Husna
11:52 17 Mar 24
Shakirin Dental Clinic is highly recommended! just left that day toothache problem due to growing wisdom teeth and swollen gums. At first I just wanted to do a consultation. but after being given a very detailed explanation by the doctor, he decided to extract the tooth because he couldn't stand the pain. after the consultation, immediately pull the tooth. the tooth extraction process does not hurt at all and the doctor is very efficient in doing the job. Alhamdulillah. staff and doctor are very good. sociable. good service very detailed explanation of dental treatment. the price is also affordable. Alhamdulilah thank you for providing the best service and service.
ACg8ocLkBRsAjlsg5eLhfk3pn82NCG6ZWnH3duuBf21TuurQnsUZBg=s56 c0x00000000 cc rp moAsy Ha
03:23 11 Jan 24
Pros1. Comfortable place.2. Friendly doctors and staff.3. The operation runs smoothly without any problems with the tools.4. Reasonable price.5. It is easy to do an operation for serious dental problems because this clinic provides many services compared to other clinics that need to be referred to other places for serious dental problems.Improvement :1. Need to make an advertisment to attract more customers.* Not paid promotion, real customer experience. That's it.
Thank you dr and all the staff for accommodating my tight schedule. The dr took great care to ensure that I was feeling comfortable throughout the procedure.
js_loader

Dental Fillings in Kuantan

Visit Klinik Pergigian Shakirin

Don’t ignore the signs of a cavity. A simple tooth filling today can save you from more serious dental issues tomorrow. Klinik Pergigian Shakirin can help you avoid a more serious dental procedure and save your tooth before it’s too late.